Anfall - är det alltid epilepsi? med Cecilia Rohdin

Anfall - är det alltid epilepsi? med Cecilia Rohdin

Denna artikel sammanfattar det webinar jag nyligen höll i ämnet. Hundar och katter kan uppvisa episodiska symtom som återges av djurägaren. Dessa symtom beskrivs ofta som ”anfall”, men kan ha olika bakomliggande orsaker.

Definitioner

Anfall (engelskans seizures)

Plötsliga kortvariga och övergående episoder oavsett bakomliggande orsak.

Epileptiska krampanfall

Den kliniska yttringen av övergående okontrollerade, synkrona, urladdningar i hjärnans kortikala neuron. Resulterar i en övergående förekomst av symtom som kan karakteriseras av korta episoder med kramper eller fokala motoriska, autonoma eller beteendemässiga drag.

Reaktiva krampanfall

Den kliniska yttringen som uppstår som en naturlig reaktion från den normala hjärnan på en övergående funktionsstörning (metabolisk eller toxisk till sin natur) -om är reversibel när orsaken eller störningen åtgärdas. De kan även kallas provocerade anfall.

Epilepsi

Definieras som ett tillstånd i hjärnan som kännetecknas av en bestående benägenhet att generera epileptiska krampanfall. Definitionen av epilepsi kräver förekomst att minst två oprovocerade krampanfall med mer än 24 timmars mellanrum till följd av abnorma, repetitiva, synkrona urladdningar i storhjärnans bark.

På hund delar men in epilepsi i idiopatisk epilepsi (IE) och strukturell epilepsi. Diagnosen IE är en uteslutningsdiagnos och ställs baserat på ålder vid debut av epileptiska anfall, normala interiktala kliniska och neurologiska undersökningar, samt uteslutning av metabola, toxiska och strukturella cerebrala sjukdomar med hjälp av diagnostiska utredningar.

På katt används istället för idiopatisk epilepsi “epilepsi av okänd orsak”. Anledningen är att idiopatisk epilepsi på hund är så starkt förknippad med en genetisk predisposition och någon sådan finns inte fastställd på katt.

Orsaker till anfall

Epilepsi

Idiopatisk epilepsi (IE) Idiopatisk epilepsi/epilepsi av okänd orsak debuterar vanligen i ålder 1-5 år (katter har större “overlap” i debutålder). I mellan anfallen är patienten normal. Det finns ingen bekräftande diagnostik –IE är en uteslutningsdiagnos. Behandling av IE kan minska risken för krampanfall men botar inte den underliggande hjärnsjukdomen.

Strukturell epilepsi

Strukturella sjukdomar i storhjärnan som leder till epileptiska anfall omfattar ett brett spektrum av tillstånd, inklusive vaskulära, inflammatoriska/infektiösa, traumatiska, missbildnings-/utvecklingsrelaterade, neoplastiska och degenerativa sjukdomar. Den neurologiska undersökningen är ofta avvikande och kan visa asymmetriska neurologiska bortfall hos hundar med lateraliserad hjärnpatologi.

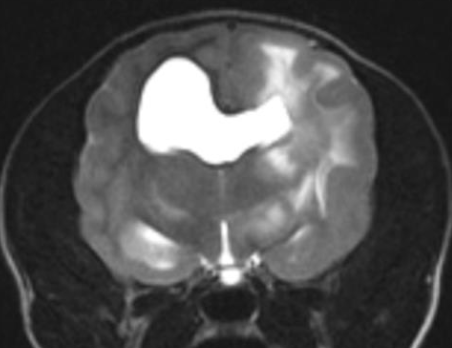
Figur 1. T2W dorsal MRI bild visar av en Fransk bulldog med en neoplastisk förändring, sannolikt ett gliom, i vänster frontallob.

Figur 2. Transversal DT bild av en ung chihuahua med grav hydrocefalus

Figur 3. T2W transversal MRI bild av en chihuahua med meningoencefalit av okänd etiologi (MUE)

Reaktiva anfall

Reaktiva anfall kan uppstå till följd av metabola rubbningar (t.ex. hypoglykemi, elektrolytrubbningar, portosystemisk shunt som leder till hepatisk encefalopati) eller av intoxikationer (t.ex. karbamater, organofosfater, blyförgiftning, etylenglykolförgiftning,metaldehyd och stryknin). Förgiftningar kan vara svåra att fastställa.

Paroxysmal dyskinesi

Paroxysmala rörelsestörningar, eller paroxysmala dyskinesier, avser onormala, plötsliga och ofrivilliga kontraktioner av en grupp skelettmuskler som återkommer episodiskt.Dessa paroxysmer kan vara svåra att skilja från epileptiska anfall, särskilt från fokala motoriska epileptiska anfall. Djur med rörelsestörningar är ofta normala mellan episoderna. Frånvaro av andra kliniska tecken under episoderna, inklusive autonoma symtom, medvetandepåverkan, talar för diagnosen paroxysmala rörelsestörningar.

Syncopé

Kan möjligen definieras som reaktiva anfall då de orsakas av en kortvarig syrebrist till hjärnan. I de fall de är orsakad av en underliggande arytmi är episoderna ofta korta < 30 sekunder. Syncopé triggas av stress, glädje, excitation, hosta. Medvetandet är inte påverkat efter episoden. Syncopé leder oftast inte till att patienten kissar eller bajsar på sig och under episoden är patienten ofta flaccid.

Idiopatisk huvudtremor

Idiopatisk huvudtremor är ett godartat tillstånd utan fastställd etiologi. Huvudet skakar i “ja” eller “nej” riktning, ofta i vila, när huvudet inte har stöd. Går ofta att bryta genom att locka på hunden eller ge en godis. Svarar ej på antiepileptika.

Idiopatisk huvudtremor

Myoklonus är en plötslig, kortvarig och ofrivillig muskelryckning. Kan delas in i epileptisk myoklonus och icke-epileptisk myoklonus. Valpsjuka (distemper) ger myoklonus. Många gånger är det svårt att påvisa en underliggande etiologi.

Andra etiologier till anfall (plötsliga kortvariga och övergående episoder oavsett bakomliggande orsak)

  • Paroxysmala /kompulsiva beteenden

  • Vestibulära episoder

  • Neuromuskulär kollaps

  • REM sömn störningar

  • Narkolepsi/kataplexi

Utredning av anfall

Det viktigaste vid utredning av anfall är att fastställa om de händelser som djuret uppvisar representerar epileptiska krampanfall eller är förenliga med en annan episodisk paroxysmal störning/aktivitet.

Stor vikt bör läggas vid anamnes med fokus på följande parametrar; uppvisar patienten kliniska symtom mellan episoderna, finns det något som triggar anfallen, visar individen några symtom innan anfallet (så som oro, går undan, kommer inte till ro).

En noggrann beskrivning av anfallet; är medvetandet påverkat (fråga om patienten är ”kontaktbar”), förekommer autonom symtom (salivering, mydriasis, urinering/avföring), muskelsymtom (är patienten ’stel’ eller ’slapp), hur långt är anfallet/episoden och är ansiktsmuskulaturen involverad (vanligt vid epileptiska krampanfall).

När vi väl fastställt att de händelser som djuret uppvisar representerar epileptiska krampanfall går vi vidare med utredning av underliggande orsak. Då epilepsi är en uteslutningsdiagnos kommer vi inte nå en fastställd diagnos utan siktar (i samråd med djurägaren) på olika grad av konfidens enligt nedanstående:

Konfidensnivå I för idiopatisk epilepsi

Sjukdomshistoria med två eller fler oprovocerade epileptiska krampanfall mer än 24 timmars intervall, ålder vid anfallsdebut mellan 6 månader och 6 år, normal allmän klinisk- och neurologisk undersökning mellan anfallen, inga avvikelser på allmänna blod- och urinprover.

Konfidensnivå II för idiopatisk epilepsi

Konfidensnivå I + normala fastegallsyror och gallsyror efter belastning, normal magnetisk resonanstomografi undersökning av hjärnan och inga avvikelser på ryggmärgsvätskeprov.

Konfidensnivå III för idiopatisk epilepsi

Konfidensnivå I, II samt påvisande av elektroencefalografiska avvikelser karakteristiska för epilepsi.

Personligt tillägg; jag brukar inte i regel ta urinprov på alla patienter med misstänkt epilepsi, jag anser att gallsyror alltid ska ingå i utredning av patienter med epileptiska krampanfall. Jag gör sällan magnetkameraundersökning av en patient med misstänkt idiopatisk epilepsi om jag inte påvisar något avvikande vid den neurologiska undersökningen (förutsatt att den inte är brachycefal). Jag tar inte ryggmärgsvätskeprov på en patient som utreds för epilepsi om den inte visar något avvikande vid neurologisk undersökning eller magnetkameraundersökningen.


Föregående
Föregående

Så löste Vetlanda Djurklinik personalbehovet med rekrytering

Nästa
Nästa

Fem vägar till bättre vinst – utan att höja priserna